奥歯でうまく噛めない方のインプラント症例
-

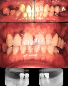
2001.6 初診時 59歳
-

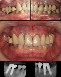
2003.2 治療終了時 61歳
初診時

59歳女性
主訴
奥歯でうまく噛めない
患者さんは久しぶりの歯科受診で口の中は長い間放置されていました。下の奥歯が無いため、上の奥歯は動いてしまっています。しっかり歯に合っていない被せ物があり、虫歯も多く認めました。
以前下に入れ歯を作りましたが違和感のため使用できなかった為、インプラント治療で義歯を回避することにしました。
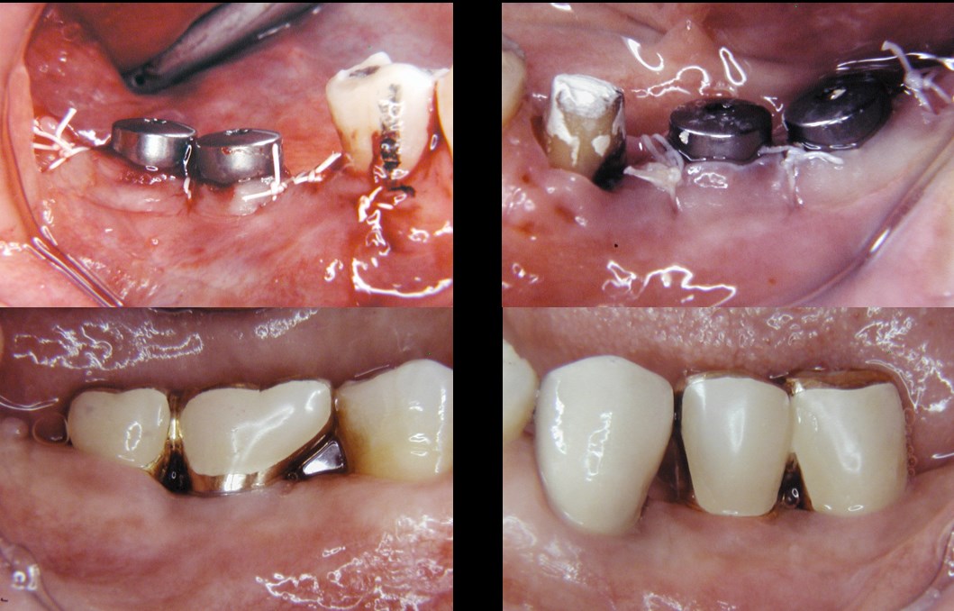
治療の流れ
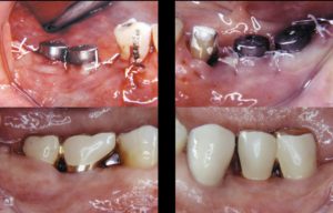
術後経過
-

2003.2 治療終了時 61歳
-

2020.2 治療終了後17年経過 78歳


